
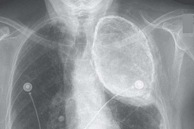
[didascalia fornitore=”foto”]di The New England Medical Journal[/didascalia]
Per oltre 60 anni ha vissuto con un polmone completamente immerso nell’olio, ma l’ha scoperto solo quando si è sottoposta a una visita specialistica per sospetta angina. L’anziana signora di 86 anni, molti anni prima, si era sottoposta a un trattamento per contrastare la tubercolosi polmonare. In pratica, il liquido impiegato nella tecnica, ossia un olio vegetale, non le è stato mai rimosso, come invece imponeva il protocollo. Fortunatamente per lei non ha mai sviluppato complicanze o infezioni dalla presenza di questo elemento estraneo iniettato nel suo corpo. Ma si è accorta della sua presenza solo dalla radiografia fatta per i controlli alle coronarie.
L’oleotorace era una tecnica molto usata nella prima metà del secolo scorso per trattare la tubercolosi polmonare.
La signora, evidentemente, si era sottoposta alla cosiddetta ‘collassoterapia’.
In cosa consisteva tale tecnica anti tubercolosi? Semplice, tramite una infusione veniva riempita di olio l’intera cavità pleurica, ossia quella porzione di spazio che si trova tra la pleura viscerale e la membrana che avvolge i polmoni.
In genere veniva usato l’olio di oliva, l’olio di fegato di merluzzo oppure anche l’olio di arachidi. In diversi casi si è ricorso anche all’uso di oli sintetici, come l’olio di paraffina.
La prassi dell’oleotorace voleva che, dopo un periodo di massimo due anni, l’olio venisse eliminato dai corpi dei pazienti, aspirato fino all’ultima goccia per impedire possibili infezioni.
Tuttavia in diversi casi i pazienti senza sintomi non si sono mai sottoposti al prelievo dell’olio, come la signora di 86 anni di cui abbiamo raccontato la storia.
Infatti lei si è rivolta ai medici per curare un fastidioso all’altezza del cuore, dolore che poi è stato chiarito essere dovuto al reflusso gastroesofageo.
Gli stessi dottori che poi si sono trovati con la radiografia del polmone della donna, le hanno consigliato, visto l’assenza di sintomi o complicanze, di lasciare le cose come stanno per evitare inutili rischi.





