
C’era una connessione tra i fortissimi mal di testa di cui soffriva e il suo frequentare lezioni di Pilates. Una donna di Londra ha scoperto di avere subito una perdita di liquido cerebrospinale proprio dopo aver frequentato alcune lezioni del famoso metodo di allenamento.
Anche se i medici hanno chiarito che il caso della 42enne londinese è raro, bisogna dire che la signora ha riferito di avere subito i primi sintomi dopo una sessione di Pilates Reformer, in cui i partecipanti fanno stretching e esercizi di resistenza su una piattaforma speciale dotata di cinghie e corde.

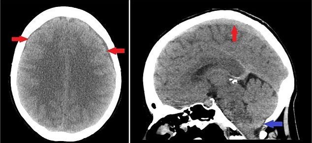
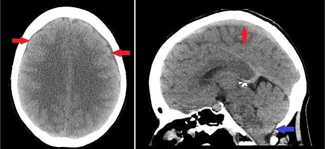
Ecco come appariva l’esame della signora che lamentava i forti mal di testa, dovuti alla fuoriuscita di liquido nel cervello.
Durante una manovra, infatti, la signora ha avvertito come un suono, uno strano pop sul lato sinistro del collo, ma poi non ci aveva fatto più caso perchè non c’erano altri segni esteriori di lesioni. Circa un’ora più tardi, tuttavia, ha sviluppato un mal di testa che è andato via via peggiorando, rendendo necessario il ricovero.





