
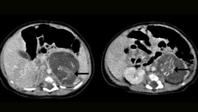
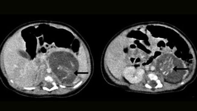
Una neonata incinta di due gemelli? Sì, è possibile. La piccola è venuta al mondo in Cina con una rara situazione: era incinta di due gemelli. I medici, all’inizio, pensavano di trovarsi davanti ad una ‘semplice’ malformazione, invece la piccola aveva dentro di se ben due feti. Tale patologia prende il nome di fetus in fetu. La bambina è stata in seguito sottoposta a intervento chirurgico per asportare i due feti.
Alla terza settimana di vita della neonata, i medici hanno asportato i feti dal suo corpicino quando erano rispettivamente di 8 e 10 settimane. I due feti erano dotati entrambi di cordone ombelicale, spina dorsale e piccoli organi in formazione.
Si è trattato quindi di una gravidanza gemellare atipica, in cui parte delle cellule staminali di una blastocisti si localizzano tra le cellule di un embrione in formazione e procedono a una differenziazione autonoma.
Il fetus in fetu si caratterizza per un non normale sviluppo embrionale, per cui i tessuti che formano un feto crescono e si differenziano all’interno del corpo di un gemello normalmente sviluppato. Tale patologia dipende con tutta probabilità da una anomalia che avviene all’atto della fecondazione.





